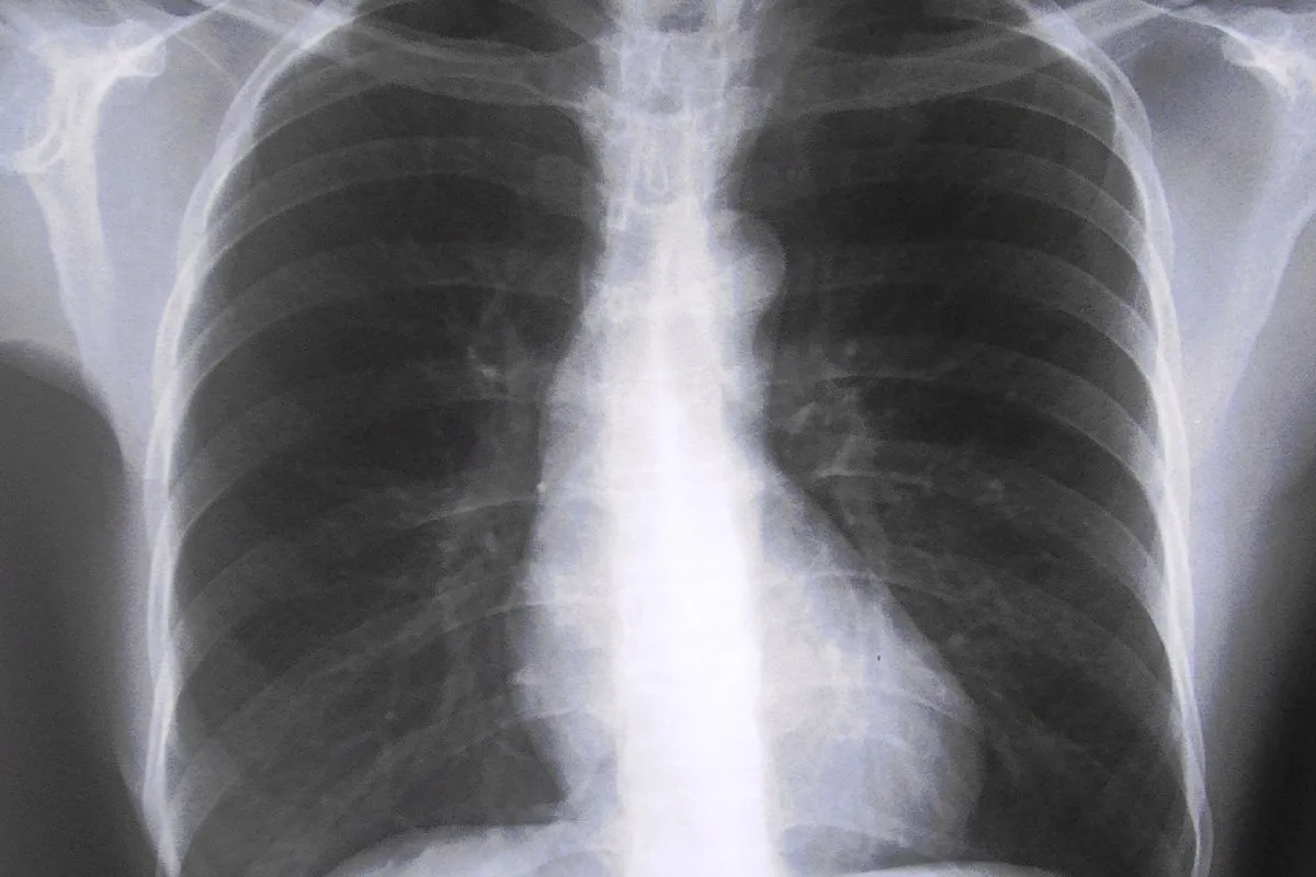
Genética y factores de riesgo inciden en fibrosis pulmonar idiopática

Genética y factores de riesgo inciden en fibrosis pulmonar idiopática

El doctor honoris causa (2025) por la UNAM, Moisés Eduardo Selman Lama, e integrante del Instituto Nacional de Enfermedades Respiratorias de la Secretaría de Salud, explicó lo anterior.

Añadió que esta enfermedad se diagnostica después de los 60 años.

Al dictar la conferencia “Descifrando los misterios de la Fibrosis Pulmonar Idiopática” en la Facultad de Medicina (FM) de la Universidad Nacional, recordó:

De las características del envejecimiento, dos tienen relación con la FPI: acortamiento exagerado de los telómeros (repeticiones de nucleótidos localizados al final de los cromosomas) en las células epiteliales, y la senescencia epitelial acelerada.

Nacemos con un genoma que no cambia, y tenemos un epigenoma que sí, por múltiples factores. La combinación de ambos determina si uno tiene un fenotipo normal o si desarrolla una enfermedad. “En la FPI el ‘rompecabezas’ no está completo y la única manera de completarlo es con la investigación que, con excepción de la ética, no tiene límites”, puntualizó.

Al presentarlo, la directora de la FM, Ana Carolina Sepúlveda Vildósola, rememoró que Moisés Eduardo Selman nació en Chile, donde estudió la carrera de Medicina. En 1973 emigró a nuestro país y obtuvo la nacionalidad mexicana en 1996.

Entradas Relacionadas