Noticias

Retiran tumor cerebral con técnica de paciente despierto

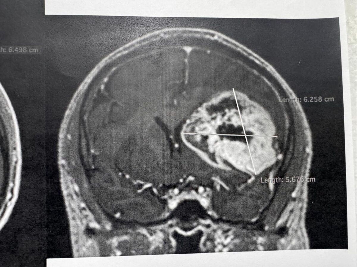
Especialistas en neurología y de diversas áreas retiraron exitosamente un tumor cerebral a un derechohabiente de 54 años, quien permaneció despierto durante el procedimiento que duró siete horas en el Centro Médico (CMN) “20 de Noviembre”, perteneciente al Instituto de Seguridad y Servicios Sociales de los Trabajadores del Estado (ISSSTE), que encabeza el director general Martí Batres Guadarrama.

El neurocirujano a cargo de la operación, Cuauhtémoc Gil Ortiz Mejía, informó que, en coordinación con la especialista en Neuropsicología, se decidió practicarle al derechohabiente un procedimiento llamado craneotomía con paciente despierto, a fin de regresarle las habilidades de lenguaje y motricidad que perdió paulatinamente en un lapso de dos meses por la presencia del tumor.

“El procedimiento realizado en agosto fue de alta complejidad, tuvo una duración de siete horas y se utilizó tecnología de vanguardia, como un neuronavegador cerebral, un microscopio quirúrgico, aspirador ultrasónico, craneotomo eléctrico, neuroestimulador eléctrico de la corteza cerebral, neuromonitoreo transoperatorio y equipo médico de neuroanestesia”, detalló.

Para determinar la realización de este procedimiento y conocer el orígen de los síntomas, explicó, el equipo médico del Instituto le realizó al derechohabiente estudios de tomografía y resonancia magnética.

Redacción

Entradas recientes

Impulsan el Servicio Universal de Salud

El secretario de Salud, David Kershenobich, presentó la ponencia La Política de Salud del Estado…

31 minutos hace

ISSSTE instalará 200 nuevos consultorios

El Instituto de Seguridad y Servicios Sociales de los Trabajadores del Estado (ISSSTE) prevé ampliar…

36 minutos hace

IMSS invita a donar juguetes

Con motivo del Día de la Niña y el Niño, próximo a conmemorarse el 30…

42 minutos hace

70% pacientes del Issste presentan afecciones en sangre

Se estima que hasta 70 por ciento de las personas que acuden a consulta en…

1 día hace

Crean mano robótica con IA capaz de sentir

Un equipo de la Universidad de Utah presentó una mano robótica capaz de sentir presión…

1 día hace

Buscan esterilizar mosquito del dengue

Investigadores de El Colegio de la Frontera Sur (ECOSUR) en Tapachula tiene un plan para…

1 día hace